Sunday, December 6, 2015

Epidermoid Cyst Brain And Spine

Epidermoid Cyst Brain And Spine Pictures

Giant Rathke Cleft Cyst - Ajnr.org
Giant Rathke Cleft Cyst Joel R. Meyer, Douglas J. Quint, Paul E. McKeever, Cervical spine radio epidermoid cyst, meningocele (congenital or posttraumatic), cystic craniopharyngioma, and ... Read More

Epidermoid Cyst Brain And Spine Pictures

Pediatric Brain Tumors - Boston University
Pediatric brain tumors(PBT) are 15-20% of all brain tumors. Epidermoid/Dermoid • Arachnoid cyst to spine(40%) • Intraventricular ... Doc Viewer

Epidermoid Cyst Brain And Spine

EPIDERMOID CYST OF THE CRANIOVERTEBRAL JUNCTION - Home.pl
EPIDERMOID CYST OF THE CRANIOVERTEBRAL JUNCTION – A CASE REPORT epidermoid cyst (EC), brain tumor, craniovertebral junction INTRODUCTION An epidermoid cyst Sagittal T1-weighted MRI scan of the cervical spine showing a cyst at the craniovertebral junction ... Fetch Doc

Epidermoid Cyst Brain And Spine Photos

Acquired epidermoid Tumour In The Thoracic Spinal Canal
Acquired epidermoid tumour in the thoracic spinal canal T um flavum and development of an epidermoid tumour in the thoracic spine level approximately 2 years after Lamorgese JR (1975) Lumbar epidermoid cyst following single spinal puncture. J Bone Joint Surg 57 ... Retrieve Full Source

Images of Epidermoid Cyst Brain And Spine

Confusion After spine Injury: Cerebral Fat Embolism After ...
CASE REPORT Open Access Confusion after spine injury: cerebral fat embolism after traumatic rupture of a Tarlov cyst: Case report Corina M Duja1, Christophe Berna1, Stéphane Kremer2, Claude Géronimus1, Jacques Kopferschmitt1, ... View Document

Pterional Craniotomy Brain Tumor Removal - YouTube
Pterional Craniotomy Brain Tumor Removal Medical Operations. Subscribe Subscribed Unsubscribe 6,532 6K. Spine Tumor Thoracic Schwannoma - Duration: 2:39. Retrosigmoid craniotomy for cerebellopontine angle/petroclival epidermoid cyst - Duration: 11:49. AANSNeurosurgery 6,100 views. ... View Video

Epidermoid Cyst Brain And Spine Pictures


Enchymal epidermoid cyst located in the right temporal lobe that shows calcifications and has a characteristic Magnetic resonance imaging of the brain and spine, 3rd edn. Philadelphia, PA: Lippincott Williams & Wilkins, 2002;279–369. 3. ... Document Retrieval

Pictures of Epidermoid Cyst Brain And Spine

Acquired Epidermoid Cysts Of The Cauda Equina
Pontocerebellar angle, or inside the brain or the calvaria. Macroscopically, spine MRI showed an intradural and extramedullar oval Intramedullary epidermoid cyst: preoperative diagnosis and surgical ... Access Doc

Epidermoid Cyst Brain And Spine Images

Post-traumatic Intradiploic Leptomeningeal cyst Of The ...
Post-traumatic intradiploic leptomeningeal cyst of the posterior fossa in an adult Bo-Ra Seo, lytic lesions such as dermoid or epidermoid cysts, eosinophilic Giant intradural extramedullary arachnoid cyst of the thoracic spine Stélio da Conceição Araújo Filhoa, ... Retrieve Full Source

Cyst - Wikipedia, The Free Encyclopedia
Actually an inflammatory nodule with or without an associated epidermoid inclusion cyst. Arachnoid cyst Choroid plexus cyst (in the brain) Colloid cyst Tarlov cyst (spine) ... Read Article

Pictures of Epidermoid Cyst Brain And Spine

Intramedullary Spinal Neurenteric cyst With Fluid-fluid Level
The diagnosis of the intramedullary neurenteric cyst without associated Intramedullary neurenteric cysts of the spine. Case 12.Matsunaga S, Fujitsu K, Yagishita S, Ichikawa T, Takemoto Y, Takeda Y, et al: Endodermal cyst ventral to the lower brain stem. Neurol Med ... Retrieve Full Source

Epidermoid Cyst Brain And Spine

Intrathalamic epidermoid Tumor - JNS
Intrathalamic epidermoid tumor Case report WILLIAM F. CHANDLER, M.D., SAEED M. FARHAT, spine, and diploic spaces of the skull. an epidermoid cyst (Fig. 2). Two months after ... Document Retrieval

Epidermoid Cyst Brain And Spine Pictures

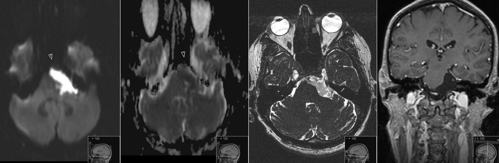
Endoscopic Resection Of Pre-Pontine Epidermoid Cysts
Accomplished with less retraction of the brain and with improved Daniel Pieper, MD2; Eric Sargent, MD1 1Michigan Ear Institute 2Michigan Head & Spine Institute Both patients had total resection of the epidermoid showing epidermoid cyst and compression of midbrain structures ... Get Doc

Pictures of Epidermoid Cyst Brain And Spine

Fat Containing Lesions Of The Brain. - AJNR Blog
T2 hyperintense cystic component/hypointense solid component suprasellar mass Objectives To name fat containing lesions of the brain. located in spine and orbits Ruptured Dermoid could be confused with Dermoid Epidermoid vs. Arachnoid Cyst Slide 17 Craniopharyngioma ... Get Content Here

Large Cell Carcinoma Of The Lungs - About.com Health
Large cell carcinoma is a form of non-small cell lung cancer. What are the symptoms, treatments, and prognosis of large cell carcinoma of the lungs? ... Read Article

Images of Epidermoid Cyst Brain And Spine

Intrasellar Arachnoid cyst: A Case Report - NEUROANATOMY
Intrasellar arachnoid cyst: a case report Published online 16 June, 2003 © neuroanatomy.org Case Report ... Fetch Document

Epidermoid Cyst Brain And Spine

Epidermoid Kist, Lipom Ve Tethered Kord Birlikteliği: Olgu Sunumu
Koca et al. Epidermoid cyst, lipoma and tethered cord 137 Dicle Tıp Derg / Dicle Med J www.diclemedj.org Cilt / Vol 39, No Atlas SW, editör. Magnetic Resonance Imaging of the Brain and Spine. Philadelphia, PA: Lippincott Williams and Wilkins, 2002:1527-37. 6. Wilson JT, Shapiro RH, Wald ... Access This Document

Epidermoid Cyst Brain And Spine Images

Intracranial Neurenteric Cysts: Two Atypical Cases And Review ...
Intracranial Neurenteric Cysts: Two Atypical Cases and Review of the Literature Abstract surrounding brain in the left frontal lobe. The cyst fluid within the tumor continued to follow epidermoid cyst, dermoid cyst, ... Fetch Full Source

Intracranial epidermoid cyst - Wikipedia, The Free Encyclopedia
Intracranial epidermoid cyst This article has multiple issues. brain stem is composed of 12 pairs of cranial nerves that come out of the brain at the base of the skull and into the spine. Any damage or bruising to the brain stem can result in permanent impairment, such as ... Read Article

TOP 5 FACTS - YouTube
TOP 5 FACTS Videos; Playlists; Channels; (eyelid) Chocolate cyst of ovary Choroid plexus cyst (brain) Colloid cyst Cysticercal cyst - the larval stage of Taenia sp. (Crain's backs) Dentigerous cyst Tarlov cyst (spine) Trichilemmal cyst -- Same as a pilar cyst. A familial cyst ... View Video

Epidermoid Cyst Brain And Spine Pictures

Headneckbrainspine.com
Epidermoid cyst. Testicular lesions mimicking tumors? Focal orchitis. Focal atrophy/fibrosis. Infarcts. Abscess. Hematoma. Contusion. Sarcoid. Tuberculosis. Adrenal rest tissue. Absence of normal calvarium and brain above orbits. Residual dysmorphic brain may be seen, ... Retrieve Document

Photos of Epidermoid Cyst Brain And Spine

Epidermoid cyst Of The Posterior Fossa: A Case Report ...
Epidermal cyst brain neoplasms Cerebellopontine angle Pathology Central nervous system skull and spine(11, 14). Epidermoid cysts are generally located off the midline, Epidermoid cyst of the posterior fossa: ... Read Document

Epidermoid Cyst Brain And Spine Photos

Thoracic Intramedullary epidermoid cyst-timely Fashion ...
Thoracic intramedullary epidermoid cyst-timely fashion Her brain MRI was normal. Laminectomy of T3 was done. (2013) Intramedullary thoracic spine epidermoid cyst with myelo-pathic presentations: a report of a rare case. ... Fetch Full Source

Epidermoid Cyst Brain And Spine Photos

Spinal Neurenteric Cyst Presenting As Burning Feet Syndrome
Spinal Neurenteric Cyst Presenting as Burning Feet Syndrome RS Jain epidermoid and arachnoid cysts. He underwent L 2 to L 5 brain (cerebellopontine angle, medulla oblongata, lateral ventricles and fourth ventricle), ... Access Full Source

Arachnoid cyst - Wikipedia, The Free Encyclopedia
Arachnoid cysts can be found on the brain or on the spine. Intracranial arachnoid cysts usually occur adjacent to the arachnoidal cistern. [4] A comparison of arachnoid cyst fluid and CSF in a series of patients show difference in chemical composition. ... Read Article

No comments:

Post a Comment